3D- реконструкция при исследовании пищеварительной системы: (Виртуальная гастро; колоноскопия)
Предыдущая статья: 3D- реконструкция при исследовании мочевыделительной и дыхательной систем
Виртуальная колоноскопия — это метод лучевой диагностики, позволяющий визуализировать отделы толстой кишки.
Виртуальная гастроскопия, аналогичный метод позволяет визуализировать все отделы желудка.
Обе процедуры проводятся на КТ с контрастированием полых органов газом.
В основе именно данной методики лежит 3D реконструкция (виртуальный эндоскоп и 3D слепок наполненного газом полого органа). Безусловно, патология подтверждается обычными сканограммами в 3-х проекциях, но первично выявляется по 3D модели.
Развитие виртуальной диагностики молниеносное преимущественно в США и Европе, что можно объяснить ее несомненными преимуществами: методика не инвазивная (в отличии от классической колоноскопии), обычно во всех случаях отлично переносится, является безопасной.
Процедура дает возможность получения двух- и трехмерного изображения разных отделов пищеварительной трубки (желудок, нижние отделы тонкого, толстого кишечника, прямая кишка). При слабости Баугиниевой заслонки можно визуализировать все отделы тонкой кишки. К сожалению, в России методика имеет незначительное применение, основная причина несовершенство программного обеспечения в базовых комплектациях КТ-сканеров, а специализированное ПО стоит немалых денег.
Компания «Комета» разработала полный комплект программных инструментов, которые в автоматическом режиме выстраивают путь прохождения кишечника с автоматическим виртуальным 3D-эндоскопом, что во многом убыстряет проведение оценки пищеварительной трубки изнутри врачом рентгенологом, а также сохраняется возможность увидеть кишечник заполненный газом в 3D (форма, размеры, положение, дефекты). Имеется функция разреза кишки и просмотра органа в развернутом виде на всем протяжении. Данный функционал устанавливается в комплекс 3Di-PACS регионально, что имеет безусловное преимущество перед конкурентами, как по использованию, так и по себестоимости.
Виртуальная колоноскопия кишечника довольно красочно показывает состояние кишечника в целом, специалист сможет рассмотреть опухоли, язвенные и эрозивные дефекты, воспаления, дивертикулы и другие изменения. Однако, образования менее 0,1 см. в диаметре визуализировать не удастся, ровно, как и оценить цвет слизистой оболочки.
Преимущества виртуальной колоноскопии:
1. Дает возможность специалисту оценить форму и расположение всех отделов толстого кишечника, толщину стенки пищеварительного тракта, состояние регионарных лимфатических узлов и окружающих тканей;
2. Осмотреть внутреннюю сторону просвета пищеварительной трубки;
3. Хорошо переносится пациентами всех возрастных групп;
4. Минимальное медицинское вмешательство во внутреннюю структуру организма;
5. Осмотр тех участков ЖКТ, которые труднодоступны при стандартном колоноскопическом исследовании;
6. Высокая точность и информативность по сравнению с ирригоскопическим обследованием при гораздо меньшей лучевой нагрузке.
Виртуальная колоноскопия имеет свои показания:
1. При подозрении на воспалительный процесс в толстом кишечнике (неспецифический язвенный колит, болезнь Крона);
2. Подозрение на наличие объемных образований (полипоз и одиночные полипы, злокачественные и доброкачественные новообразования);
3. Установление места кровотечения.
Те же преимущества и при виртуальной гастроскопии.
Виртуальная колоноскопия основана на использовании рентгеновских лучей. Вопреки всеобщему мнению, в данном случае она не может принести ощутимого вреда организму человека, так как специалисты используют последнюю современную аппаратуру, которая сводит степень облучения к минимуму.
В настоящее время виртуальная колоноскопия является скрининговым методом преимущественно для обнаружения полипов на их ранней стадии, их последующего удаления. Большая часть специалистов рекомендует данное исследование всем лицам старше 50 лет. Периодичность один раз в 7-10 лет. Пациенты из группы риска по развитию рака толстой кишки подлежат более частому скринингу — 1 раз в 5 лет. К таким лицам относят:
- те, у которых есть кровные родственники с раком толстого кишечника в анамнезе;
- полипы разных отделов толстой кишки у близких родственников;
- сразу проводят обследование пациентам с наличием крови в каловых массах.
Противопоказания метода:
1. Крайне небольшой риск травматизации стенки пищеварительной трубки при нагнетании воздуха в его полость (перфорация или разрыв);
2. Воздействие лучевого фактора (примерно как за 20 месяцев жизни при обычной фоновой радиации);
3. По этой причине метод противопоказан беременным;
4. Пациентам с выраженной степенью ожирения тяжело провести такое исследование;
5. Процедура является чисто диагностическим методом, так как при обнаружении полипов приходится дополнительно проводить эндоскопический вариант обследования.
Циркулярный рак тонкой (подвздошной кишки)
Необходимо отметить, что данная патология довольно редко встречается, как правило выявляется на операционном столе у пациентов с тонкокишечной непроходимостью. На данном примере демонстрируем, что дефект кишки был диагностирован на основании 3D реконструкции, а затем уже целенаправленно подтвержден сканограммами с протяженностью процесса и степенью сужения кишечной трубки. Сыграла свою роль сопутствующая патология, которая имела место быть, а именно слабость Баугиниевой заслонки, за счёт чего тонкий кишечник полностью заполнился газом, хотя целью исследования было исключить патологию толстого кишечника.



Просвет тонкой кишки до и после дефекта в 3D-эндоскопе

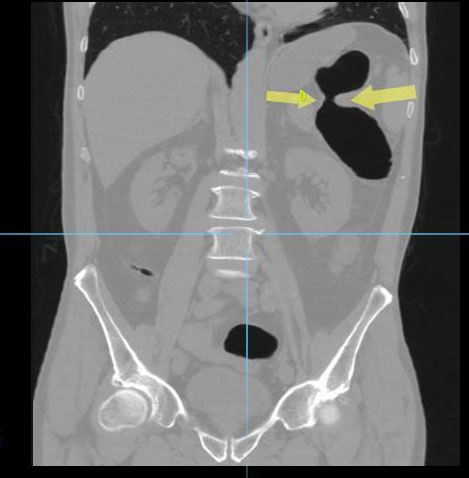
Рак ободочной кишки в зоне селезёночного угла с прорастанием опухоли в переднюю стенку желудка
Патология с точки зрения диагностики так и клиники интересна тем, что диагностировать удалось в полном объёме только на КТ, при проведении виртуальной колоноскопии. 3D реконструкция и в этом случае, как нельзя кстати. Пациент удачно прооперирован, с восстановлением физиологии пищеварительной трубки с относительно благоприятным клиническим исходом. Через год после комбинированного лечения отдалённых метастазов не выявлено.






Циркулярный рак антрального отдела желудка с затруднением эвакуации химуса



Подведя итог всему выше написанному, хочется констатировать, что виртуальная колоно-гастроскопия имеет место быть. Более того она превосходит многие ранее применявшиеся методы диагностики, так как позволяет просматривать не только конкретный орган, но и весь объём сканирования, что позволяет комплексно оценивать патологические изменения в организме человека. 3D-реконструкция на КТ облегчает диагностику, минимизирует вероятность диагностической ошибки, что очень важно для врача-клинициста и пациента в первую очередь.
Компания «Комета» на сегодня разработала и успешно внедряет в регионах РФ свои программные решения для повышения качества диагностического процесса, более того проводит тренинги, лекции среди врачей по работе с программным обеспечением и конкретной диагностике, органов и систем.
Пример тренинга в Ставропольской краевой клинической больнице.


